
Una investigación dirigida por la Universidad Rockefeller (Estados Unidos) ha explicado por qué los pacientes con anemia de Fanconi son vulnerables al carcinoma de células escamosas de cabeza y cuello (HNSCC, por sus siglas en inglés).
El ADN de nuestras células tiene que funcionar a contrarreloj y necesita reparaciones constantes. En cualquier célula y en cualquier momento, hay procesos moleculares en marcha para sellar grietas en la doble hélice o corregir el código genético, como parte de un programa de mantenimiento perpetuo que mantiene el status quo del organismo y evita enfermedades.
Los pacientes con el raro trastorno genético de la anemia de Fanconi carecen de ciertos elementos de este sistema de reparación, por lo que sus células son incapaces de eliminar las lesiones creadas por unas sustancias químicas llamadas aldehídos que dañan el ADN. Y por razones que hasta ahora no estaban claras, su riesgo de desarrollar tumores de cabeza y cuello muy agresivos es cientos de veces mayor que el de otras personas.
Este nuevo estudio, publicado en la revista científica ‘Nature’, también arrojan nueva luz sobre los mecanismos por los que fumar y beber pueden elevar el riesgo de cáncer de cualquier persona, y sugieren que las personas de esta categoría podrían beneficiarse de enfoques terapéuticos similares.
«CAOS GENÉTICO»
Las personas que nacen con anemia de Fanconi pueden sufrir numerosos problemas médicos, como insuficiencia de la médula ósea, malformaciones congénitas y un mayor riesgo de padecer algunos tipos de cáncer, como el HNSCC, con tumores muy metastásicos que surgen en las mucosas de la boca, la nariz, la garganta o el esófago.
Para este subgrupo de pacientes, que no pueden soportar la quimioterapia estándar debido a su incapacidad para reparar el ADN, se necesitan urgentemente nuevos enfoques de tratamiento del cáncer.
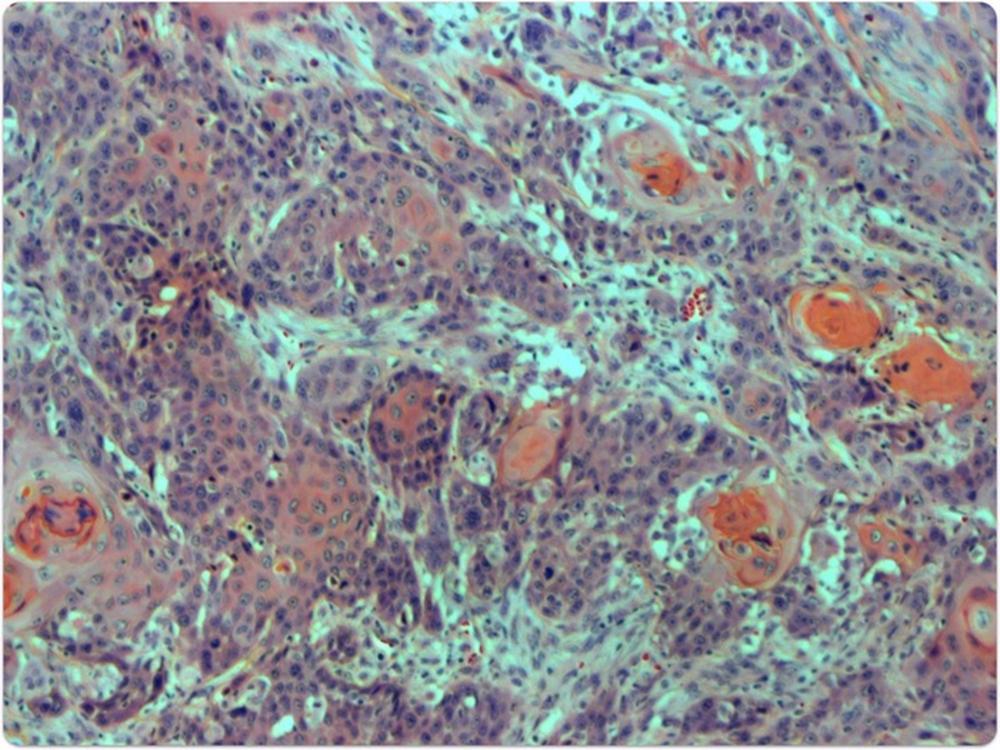
Para entender cómo la anemia de Fanconi puede estimular el desarrollo de estos tumores, estos investigadores analizaron tejidos tumorales de HNSCC aislados de más de 50 pacientes con anemia de Fanconi y los comparó con tumores de HNSCC extraídos de muestras de la población general. Tras secuenciar los genomas tumorales, descubrieron que las células tumorales con anemia de Fanconi presentaban a menudo genes con demasiadas o muy pocas copias.
Este fenómeno, conocido como variación en el número de copias, ya se había detectado en tumores de HNSCC de personas sin la enfermedad genética. Sin embargo, la diferencia entre los dos grupos era significativa: los pacientes con anemia de Fanconi presentaban muchas más variaciones en el número de copias de sus tumores que los individuos sin la enfermedad.
Estos hallazgos podrían explicar por qué los HNSCC de los pacientes con anemia de Fanconi tienden a ser especialmente mortales, con una supervivencia media de sólo 17 meses tras el diagnóstico.
«Se produce un completo caos genómico, que perturba simultáneamente muchos sistemas diferentes que normalmente impiden que nuestras células se conviertan en cánceres. Creemos que ésta es una de las razones de la agresividad de estos tumores», ha comentado la líder de la investigación, Agata Smogorzewska.
Los pacientes con anemia de Fanconi podrían necesitar intervenciones múltiples. Estos hallazgos podrían indicar el camino hacia combinaciones específicas de fármacos que podrían ser útiles. Smogorzewska y sus colaboradores están probando tales combinaciones terapéuticas en modelos de ratón y en tumores derivados de pacientes cultivados en ratones.
La investigación también sugiere que las elevadas variaciones en el número de copias son el resultado de reordenamientos estructurales en los genomas de los pacientes con anemia de Fanconi que aparecen cuando las células no reparan adecuadamente el ADN dañado por aldehídos durante la división celular. Los científicos observaron que los tumores de estos pacientes presentaban con frecuencia estas variantes estructurales, con tramos de ADN que aparecían en lugares erróneos o que se perdían por completo.
El equipo también diseñó un modelo de ratón de la enfermedad en el que los tumores carecían de uno de los genes de la anemia de Fanconi necesarios para la reparación del ADN. Descubrieron que estos tumores presentaban un mayor número de variantes estructurales, lo que confirma que la falta de funciones de reparación del ADN hace que las células sean vulnerables a la adquisición de variantes estructurales y a los consiguientes cambios en el número de copias.
Mientras realizaban estos experimentos, el equipo se llevó una sorpresa: los tumores que no podían reparar el ADN crecieron considerablemente. Un análisis minucioso de las células tumorales reveló que también eran potencialmente más móviles, otra pista de por qué las células de los pacientes con anemia de Fanconi son más propensas a salir de su tejido de origen y hacer metástasis.
Smogorzewska cree que algunas de esas características, que aún deben conocerse mejor, podrían aprovecharse para el desarrollo de nuevos enfoques terapéuticos para tratar a los pacientes de cáncer con anemia de Fanconi.
RELACIÓN CON EL TABACO Y EL ALCOHOL Las cosas se pusieron aún más interesantes cuando los investigadores se preguntaron cómo podrían utilizarse los hallazgos de la anemia de Fanconi para comprender los cánceres esporádicos en la población general.
Recuperaron datos genómicos de HNSCC esporádicos del Atlas del Genoma del Cáncer, una amplia base de datos pública, y demostraron que estos tumores también presentaban una gama de números de variantes estructurales en sus genomas.
Además, existía una correlación entre el historial de tabaquismo y el número de variantes estructurales: Cuanto más fumaban los pacientes, más variantes se detectaban en sus tumores. Los tumores con mayor número de variantes también mostraban signos de una elevada exposición al alcohol, una correlación que significa que el consumo de alcohol y tabaco, que someten al organismo a aldehídos, puede alimentar el cáncer mediante mecanismos similares a los que intervienen en la anemia de Fanconi, afirma Smogorzewska.
«Proponemos que el consumo de tabaco y alcohol da lugar a tumores HNSCC en parte porque crea más daños en el ADN relacionados con los aldehídos de los que las células son capaces de reparar. Como resultado, las células de personas sin anemia de Fanconi actúan como si también tuvieran un defecto de reparación del ADN, lo que da lugar al mismo espectro de mutaciones», ha destacado la investigadora.






