
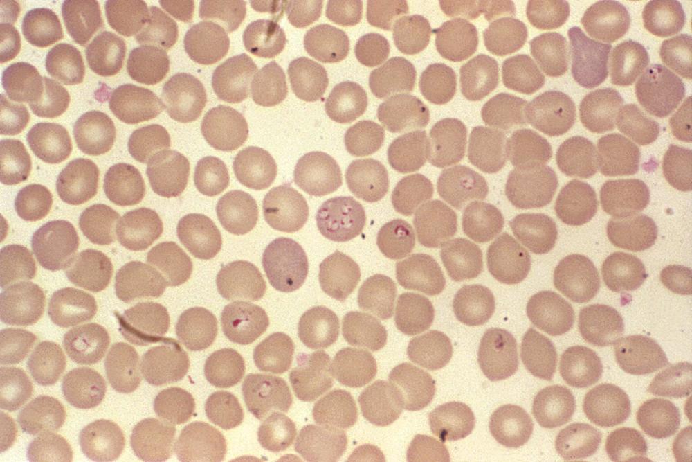
Un equipo del Centro Nacional de Microbiología (CNM) del Instituto de Salud Carlos III (ISCIII) ha participado en una investigación internacional que ha desvelado la primera secuencia completa y la estructura tridimensional (3D) del genoma del parásito ’Babesia duncani’, microorganismo causante de la babesiosis, una enfermedad similar a la malaria.
La babesiosis afecta a humanos y animales, provocada por protozoos del género ’Babesia’ y transmitida normalmente por la picadura de un tipo de garrapata. El microorganismo estudiado, ’Babesia duncani’, causa una babesiosis especialmente grave que puede llegar a ser letal en personas infectadas.
Los síntomas de esta infección pueden ser leves, pero también complicarse y generar fiebres muy altas y diferentes fallos orgánicos, hasta causar la muerte. Para tratar la babesiosis leve o moderada se utilizan antibióticos de amplio espectro, como la azitromizina, y medicamentos antiprotozoarios como la atovacuona; en casos de infección grave están indicadas la quinina y la clindamicina en combinación con los otros tratamientos y la exanguinotransfusión.
Esta nueva investigación, coordinada desde las universidades de Yale y California (Estados Unidos) y publicada en la revista científica ’Nature Microbiology’, permite desvelar por primera vez el genoma de este parásito, su estructura nuclear, sus perfiles transcriptómicos y epigenéticos, cómo se ensambla su material genético, su estructura molecular en tres dimensiones y su evolución filogenética.
Hasta el momento, y a pesar de la alta patogenicidad de ’Babesia duncani’, se tenía muy poca información sobre su biología, evolución, mecanismos de virulencia, patogenicidad y susceptibilidad a fármacos.
Los hallazgos, entre los que se encuentra el descubrimiento de nuevas familias multigénicas desarrolladas por el parásito para escapar de la respuesta inmune del humano, permitirán afinar el diagnóstico de la infección, seleccionar mejor los fármacos disponibles, mejorar las pruebas de otros fármacos en desarrollo y facilitar la búsqueda de nuevas dianas terapéuticas para la infección en humanos.
Gracias a análisis ’in vitro’ con eritrocitos humanos, y en modelo animal, los autores han elaborado un ’mapa’ del metabolismo del parásito y de su desarrollo durante la infección. Este atlas de nuevos datos ha aportado nuevo conocimiento, en forma de antígenos, para el diagnóstico de la infección activa y de moléculas para el posible desarrollo de fármacos, como los antifolatos, entre los que se incluye la pirimetamina, que inhiben la acción infecciosa de ’Babesia duncani’ y que podrían ser efectivos en el tratamiento de la babesiosis en personas.
Estrella Montero, Luis Miguel González y Sergio Sánchez, investigadores de los Laboratorios de Referencia e Investigación en Parasitología y en Infecciones Bacterianas Transmitidas por Agua y Alimentos del CNM-ISCIII, han participado en el estudio y son coautores del artículo.
Fuente: (EUROPA PRESS)






